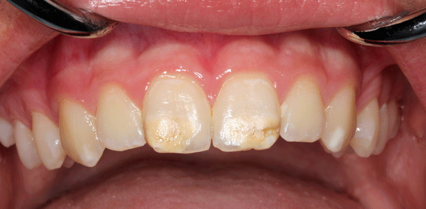
Wer das Wort Kreidezähne hört, mag erst einmal an die Geschichte vom Wolf und den sieben Geißlein denken. In dem Märchen frisst besagter Wolf Kreide, um seine Stimmlage zu erhöhen und die Ziegen hinters Licht zu führen. Allerdings verweist der Begriff „Kreidezähne“ aktuell auf eine Erkrankung der Zähne bei kleinen Kindern. Diese ähneln dann in ihrer Beschaffenheit jener des weißen Gesteins: Sie werden porös, fleckig und rau – und brechen einfach ab.
Mittlerweile leiden hochgerechnet etwa 450.000 Kinder in Deutschland unter Kreidezähnen, die behandelt werden müssen, wie aus den Daten des aktuellen Zahnreports der Barmer hervorgeht. Das entspricht etwa acht Prozent aller Sechs- bis Zwölfjährigen, so die Krankenkasse. Nach Erhebungen des Instituts der Deutschen Zahnärzte (IDZ) litten 2016 sogar knapp 30 Prozent der Zwölfjährigen in Deutschland unter den Zahnschäden. Damit gehören Kreidezähne neben Karies zu den am meisten verbreiteten Zahnerkrankungen bei Kindern. Wobei: Die Erkrankungsrate von Karies bei Kindern ist seit Jahren rückläufig.
Kein Wunder also, dass Eltern junger Kinder angesichts des konstanten Anstiegs der sogenannten Molaren-Inzisiven-Hypomineralisation (MIH), so der Fachbegriff, in höchstem Maße alarmiert sind – zumal es gegen die rätselhafte Erkrankung bisher keine präventiven Maßnahmen gibt.
Zähne zerbröseln wie Kreide
Die Zähne der Betroffenen verfärben sich gelblich bis bräunlich, bei einigen werden sie derart porös, dass sie abbrechen, beziehungsweise – wie Kreide – zerbröseln. Zwar weisen über 80 Prozent der Betroffenen nur gering ausgeprägte Schäden auf, allerdings führt die geringe Mineralisierung des Zahnschmelzes dazu, dass die Zähne empfindlicher reagieren, was wiederum die Mundhygiene erschwert. Die Folge: Das Kariesrisiko steigt. Die Erkrankung betrifft meist die ersten Molaren, also die bleibenden ersten großen Backenzähne, und die Schneidezähne, weswegen sie in der Regel ab dem sechsten Lebensjahr diagnostiziert wird.
Bereits seit über einhundert Jahren existieren über das Phänomen der Kreidezähne detaillierte Beschreibungen, frappierend ist allerdings die weltweit starke Zunahme der Zahnschäden. Von einer „neuen Volkskrankheit“ ist bereits die Rede (Deutsche Gesellschaft für Zahn-, Mund- und Kieferheilkunde). Die höchsten Fallzahlen auf regionaler Ebene wurden in Nordamerika sowie in Süd- und Ostasien gemessen.
Der Barmer Zahnreport 2020 zeigt die regionalen Häufigkeiten der MIH für Deutschland an. Allerdings führten nicht wie bisher üblich epidemiologische Studien zu diesem Ergebnis, sondern eine Verknüpfung von klinischen Studiendaten und Routinedaten der Krankenkasse. Dabei wurden jedoch nur die schwereren, behandlungsbedürftigen MIH-Fälle aufgedeckt.
Vor dem Hintergrund der unterschiedlichen Falldefinitionen ist ein Vergleich der Ergebnisse zwischen den einzelnen Studien schwierig. Die Prävalenz in Deutschland liegt nach dieser Betrachtung bundesweit über die Jahre 2012 bis 2018 bei etwa acht Prozent mit erheblichen regionalen Differenzen: zwölf Prozent in Brandenburg und Mecklenburg-Vorpommern, sechs Prozent in Sachsen, Hessen, Hamburg und Bayern.
Behandlung und Entstehung
Die Behandlung richtet sich nach dem Grad der Schädigung: Liegt nur eine gering gestiegene Schmerzempfindlichkeit vor, kann schon das Auftragen eines Fluoridpräparats oder eine Versiegelung Abhilfe schaffen. Hat allerdings bereits die Hartsubstanz der Zähne gelitten, müssen sie gefüllt werden im Sinne einer restaurativen Therapie. In schweren Fällen bedarf es einer Überkronung. Wenn nichts mehr hilft, bleibt nur, den betreffenden Backenzahn zu ziehen.
Über die Gründe der Entstehung von Kreidezähnen lässt sich bisher nur spekulieren, wobei sich die Hinweise darauf verdichten, dass die Gabe von Antibiotika oder antiasthmatischer Medikationen zwischen null und vier Jahren eine Rolle spielen könnten. Weder Zähneputzen noch Ernährung hätten, so die Forscher, einen Einfluss auf die Erkrankung an MIH.
Unter den Sechs- bis Neunjährigen sind Mädchen häufiger als Jungen betroffen. Zwischen den Jahren 2012 bis 2019 hatten 9,1 Prozent der Mädchen und 7,6 Prozent der Jungen eine so schwere Form der Kreidezähne, dass sie in zahnärztlicher Behandlung waren. Darüber hinaus bekommen Kinder vergleichsweise selten Kreidezähne, wenn die Mutter zum Zeitpunkt der Geburt noch sehr jung oder älter als 40 Jahre war. BARMER-versicherte Mütter haben dagegen gut doppelt so häufig Kinder mit Kreidezähnen, wenn sie zum Zeitpunkt der Geburt zwischen 30 und 40 Jahre alt waren.
Frauen nutzen zahnärztliche Behandlung häufiger
Neben dem Fokus auf die Zunahme der Kreidezähne, zeigt die Auswertung der Abrechnungsdaten der Barmer noch eine andere Auffälligkeit, die allerdings seit Jahren besteht: Diejenige, der Häufigkeit von Zahnarztbesuchen in Abhängigkeit vom Geschlecht. Demnach waren im vergangenen Jahr 73,4 Prozent der Kundinnen und nur 65,3 Prozent der Kunden in zahnärztlicher Behandlung.
Insgesamt haben damit im ersten Jahr der Pandemie deutlich weniger Menschen eine solche Behandlung in Anspruch genommen. 2019 waren noch 76,2 Prozent der Frauen und 67,8 Prozent der Männer in Zahnarztpraxen anzutreffen. Insgesamt sei die Zahl der zahnmedizinisch versorgten Versicherten der Krankenkasse von 6,57 Millionen im Jahr 2019 auf 6,25 Millionen im Jahr 2020 gesunken.
In Bezug auf das Alter gibt es deutliche Abweichungen: Demnach beginnen die Geschlechterunterschiede erst ab einem Alter von 15 Jahren, während sie sich ab 80 Jahren wieder annähern. Am wenigsten achten junge Männer zwischen 25 und 39 Jahren auf ihre Zahngesundheit. Und das obwohl weiße, gesunde Zähne als Schönheitsideal und Erfolgsgarant gelten und deswegen nicht selten geneidet werden. Ein Grund mehr, die Prophylaxe ernst zu nehmen.
Wenn Ihnen dieser Artikel gefällt, abonnieren Sie unseren täglichen kostenlosen Newsletter für weitere relevante Meldungen aus der Versicherungs- und Finanzbranche!

